勝川までおでかけ

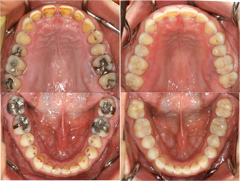
4/27、28と二日連続で矯正歯科に行ってきました。
一日目は初診、相談
二日目は精密検査
次回は治療方針や方法の説明を聞いてきます。

矯正歯科を決める時は数件の候補の中から検討して、自分に合うものを
選んだ方が良いと読んだ本に書いてありました。

私は他には1件しか行ったことがありません。
紹介ということもあって行く前から、9割方ここにしようと思っていましたが、
初心時に先生が、矯正におけるリスクもちゃんと説明してくださった事もあり、
信頼できるなと思い、すぐに精密検査の予約をして帰りました。
初めて聞くことだったので、聞く機会があって良かったです。

それと先生が
「台風や雨が酷いときは来ないで下さい。危ないですから。」
「夏は走って来なくてもいいですよ、暑くなりますから。」
とおっしゃっるので、正直変わった先生だな〜と思いました。
普通は予約入れてたら、ちゃんと来て欲しいですよね。
こんなこと言われたら、先生に迷惑のかからないように
意地でも時間通りに行こうと思ってしまいました!

勝川は家を12時50分に出ると15時丁度に矯正歯科に着きます。
乗り物に乗ってるだけなので特に遠いとは感じませんでした。
それに友達とも遊べるので、途中で行くのが嫌になることはないでしょう。

一日目はげろり途中下車の旅になりかけたのでまずかったですが。。

精密検査の結果をまだ聞いてないのでわからないですが
おそらく第一小臼歯を抜くだろうとのことです。

そこ抜いたらな〜、しゃべったら見えるし、ちょっと嫌だな〜・・・。
それを考えると少し憂鬱。。

投稿者 eedental : 08:50 | 矯正ってドウなの!? | - | -

おはようございます

BH矯正歯科の院長先生。
素敵なスマイルラインとリップラインが魅力的。
今日もロケラン片手に診療、診療。


今日からGWです!
はしゃいで早く目が覚めたわけではありません。
昨晩、疲れて早く寝てしまっただけです!

月曜日に勝川の矯正歯科に行ってきます。
去年の12月ぐらいから矯正について考え始めて、やっと一歩前進です。
電卓を一人でたたいていてもしょうがないのでお話を聞いてきます。

小学生の時に、歯医者さんで矯正を薦められて断ったけどやっとけば良かったな〜
とつくづく思います。
最近になって「やらない」って言った時のことを急に思い出しました。
でも当時の忍耐力では途中で装置外してただろうし、歯磨きが不十分で
虫歯だらけになってただろうし、今なら費用も自分で払えことができるし、
このタイミングがベストだと思っています。

あ〜、はやく矯正始めたいヽ(´o`)ノ

投稿者 eedental : 05:43 | スタッフの『言いたい放題』 | - | -

ニューボード 登場

今年はこれを乗りこなす!!

とりあえず「第13次サーフィンブーム}到来!!
今年もシングルフィン!!


以前の物は
ジョエル チューダー 「ニューカルマ」 5”11 が
今回、
ジョエル チューダー 「ニューカルマ」 6”4  ←これは長い!!

ショート乗っていたのでこの13cmの長さが非常に長く感じる(?+_+)








5月6日までお休みさせて頂きますm(_ _)m
  
5月7日より診療を行います^^

投稿者 eedental : 00:39 | 院長の趣味の世界 | - | -

エンド⇒インプラント

始発の新幹線の中でブログ書いています。

昨日、ガットマン先生の講演に行ってきました。


会場です。
誰もいない、早く着き過ぎです^^;

講演開始前に、
ふと見ると「(ーヘー;)
関西方面の高名な先生方が多くいらっしゃいました。

でも、水曜の18時って凄い時間にするものだ・・・



で、結論から言うと・・・

ガットマン先生の講義、知っていることだらけで・・・
目新しいことは全く言っていなかったです。。。

でも臨床歴40年の先生の症例は「素晴らしい!!」の一言
歯の吸収症例をバンバン出していましたが、
内部吸収外部吸収のレントゲン所見の見分け方は非常に参考になりました。

たぶん学生時代に習っていることだとは思いますが(笑)

『歯を残す為の診断』が重要ということは再三おっしゃられていました。
また自分では治療できるか!?など

根の治療は診断・治療が非常に難しいです。
根の治療で治らなければインプラントという手もあります。


インプラント。。。

知り合いの先生なんかは
「見えない部分のエンド(歯内療法:根の治療)はインプラントの10倍難しいことしているんだよ!!」(*酒が入っています)
とおっしゃられていました^^;

私の好きな小林先生も
「簡単なエンドはない」とおっしゃられています。

ホント根の治療ってテクニカルセンシティブで他の治療より難しいんですよ。。。
根の治療は患者さんの想像以上に手間がかかりますし、技術差も存在します。


インプラントは歯が無くなってから行う治療ですが、
インプラントを中心に診療を組み立てられている先生と歯内療法中心に診療を組み立てている私とではやはり抜歯基準は異なってきます。

もの凄く手間がかかり成功するか分からない・泣きたくなるぐらい手間のかかる根の治療をするより予後の安定が図りやすいインプラントで勝負をつける。
これは先生の考え方次第です

逆に言えば、インプラントをしていない分無理に残そうとしてしまう面はあります。
その点は注意するように周りの先生から助言を頂いております。

注)、インプラントは素晴らしい現代医療の治療選択肢の1つです。
否定している訳ではありません(~ ~;)

昨日ネット見ていて驚いたのが・・・
なんでこんな所(第一大臼歯)に極細インプラント2本?
ワイドタイプ(太い)のインプラント1本では駄目なのか!?

と思う写真を見てしまいました。

また先週末名古屋で見たのは、1本10万円をきるインプラント


安すぎですね(~ヘ~;)
「質」はどうなんでしょうjか?


私の歯科医院インプラントはしていませんので、
「どんな歯科医院でインプラントを埋入すればいいですか?」よく聞かれます(°〜°)


私のようなインプラントが出来ない人間から見て言えることは
インプラント治療を受けるのなら、
1、『骨』が作れる先生であった方がいい。
2、また歯周病の治療が得意な先生であること。

この2つ条件を言います。


長くなりそうなので、ここでCM
_______________________________________________________
CM「ノアデンタルクリニック」
http://www.noahdental.com/

_______________________________________________________
*先日『本人』からブログでバンバン紹介しろと言われたので^^;


骨が増やせるというのは何を言っているかというと

例えば、
枕木のようなしっかりした所に打った釘
ベニアのような薄い所に打った釘

どちらが打った物は取れにくいでしょうか!?(? ?)




当然前者の方が取れにくいです(~ー~)
でも現代技術ではベニアのような頼りない所も枕木のように厚みを増すようなことはできます。
それが骨を増やす技術なのですヽ(゜ロ゜;)ノ

ですから『インプラント年間症例○○本』と言う謳い文句より、
その先生が骨を作る技術があるなど治療オプションの多い先生を選ばれた方がいいと私は思います。

インプラントは入れてからが大切です。

骨を増やす技術は
「GBR」
「GTR」
「サイナスリフト」(上顎奥歯に適応)
「ソケットリフト」(上顎奥歯に適応)
「ソケットプリザベーション」   ←私はこれしか出来ません^^;
「仮骨延長」

など色々な手法があります。
この中でも「GBR」などが出来れば^^;

「サイナスリフト」も・・・
よくばり過ぎですね^^;


この2つの治療オプションがある先生は何割ぐらいいるのでしょうかね? >L(‘▽‘)

最近は骨を増やす手術のみ他の歯科医院で手術を行い、埋入はそこの歯科医院というパターンもあるそうなので、必ずしも絶対条件ではありませんが。



インプラントは多くの歯科医院がしています。
ですが、歯根膜のある天然の歯に比べれば・・・

残念ながら人工物です(★★)


まず、虫歯にならないよう、歯周病にならないようにしてもらうことが一番重要だと思います。









今週の週末、歯内療法学会 

知恵熱が。。。(笑)

or ニューボード
 

投稿者 eedental : 16:20 | 歯内療法(エンド) | - | -

さてさてどこを治したでしょうか!?

奥歯のレジン治療です。

























答え、
http://www.eedental.jp/blog/archives/2009_4_19_412.html

投稿者 eedental : 23:07 | レジン(プラスチック) | - | -

帰ってビールだな

4月26〜5月6日までお休みさせて頂きます。

______________________________________________


無事終わりました虫眼鏡学会(顕微鏡学会)

今回は修復物(詰め物)の精度について発表をしてきました。
レジン、メタル修復
裸眼では見えず手さぐりで行わないといけない場所も、顕微鏡を使用することで精度を維持できます。
的なスライドを17枚(ウチ3つ動画)

言いたいことは色々ありますが、決められた時間で話さないといけないので
今回は早口で話をしてしまいました。。。

緊張する時間も無かったです。
(子供の頃は物凄く緊張する子だったのですが、どこで体質が変わったことやら^^;)

で、一仕事終わったと思い、今日は波乗りに行こうと朝6時半に起きたのですが・・・
波が小さい、風が悪いというサーフィンには全く適さない環境。。。

せっかくの休みが。。。
バイクもライトが切れた状態のままなのですが、今日は海の近くでのんびりしたいということで、
普段全く行かない伊良湖岬の先端まで出かけ刺身定食を食べてきました。

先端(ポイント)が少し気になりチェックをしに行くものの、ノーサーフ・・・
ウネリっぽいのは入ってきているけど、これでは出来ない。

夕方豊橋に帰ってきて、

20:00〜 23:00
歯科医師会の当番。。。


お疲れ、『俺』!!


今週の水曜日の午後はガットマン(有名エンドドンティスト)の講演を大阪に聞きに行くので水曜の午後は休診とさせて頂きますm(_ _)m

これで終わりだ!!

投稿者 eedental : 23:55 | - | - | -

答え

奥歯4本の治療を行いました。

7番 レジン治療
6番 ハイブリットアンレー
5番 ハイブリットインレー
4番 レジン治療

4本治療したと分かった人・・・

プロ以上の目をお持ちで^^;



因みに私は自分で詰めた4番(奥から4番目の歯)
後日見たら本物の歯だと。。。

投稿者 eedental : 23:58 | レジン(プラスチック) | - | -

外科的歯内療法ページ 途中報告

ラーメンズライブに行ってきましたf(^^;)

非常に面白かったです。
今回ちょっと「ドリフターズ」的エッセンスが入っていました。

チケットを取ってくれた伊藤お父さん
ありがとうございます

出来れば来年も再来年もよろしくお願いしますm(_ _)m


さてさて、外科的歯内療法ですが、
とりあえず1ページ目

http://www.eedental.jp/contents/medicalcase/surgery.html

YouTubeで画像が見れるようになっています。

2ページ目もあるのですが、もうしばらくお待ちください(・ε・


ん〜、毎日画像撮りながら治療しているのですが、毎日編集してDVD−Rに落して・・・

開業して2年間分のDVD-Rが80枚ぐらいあります。

そのうち(暇になってきたら)
顕微鏡画像を色々YouTubeにアップしていきたいと思います。


とりあえず、シルダー法の根管充填でも(笑)

 

投稿者 eedental : 21:21 | EEDENTAL NEWS | - | -

2009年4月15日

||Φ|(|゚|∀|゚|)|Φ||

EEデンタルの診療中はジャズなどが流れています。
私はそれを聞きながら治療中にうっかり寝てしまう事もありました。

でも治療中、助手として立っているときはほとんど曲が耳に入ってくる事がないです。
余裕がないから・・?
レジン修復の、充填時にしか聞こえてこないです。
先生はどの程度、曲が聞こえているんでしょうか?

でも、1曲だけどうしても私の頭の中にねじり流れこんでくる曲があります。
ルパン三世の銭形警部の曲です。
曲が始まったが最後、銭形警部が頭の中で
「ルパ〜ン、逮捕するーー」を永遠リピート。
脳内が壊れかけのRadio状態。

ちなみに診療時間外は主にロックが流れています。
朝、浅井健一でテンション上けて掃除して一日が始まる。
夜、浅井健一でテンション上げて片づけして一日が終わる。

ほんとは診療中も浅井健一が良いな(´〜`)

投稿者 eedental : 22:15 | スタッフの『言いたい放題』 | - | -

2009年4月13日

3日間の東京生活

一応^^;

4月26日(日)〜5月6日(水)までお休みさせて頂きます。


________________________________________

只今また新幹線でだらだらブログ書いています。

今日は歯内療法専門医の澤田先生のオフィスに見学に行ってきました。
1年ぶりぐらいに見学をさせていただいたのですが、

ホント、朝から夕方過ぎまで居座りご迷惑をおかけしましたm(_ _)m


色々話ができて良かったです。
でも流石ですね、澤田先生のオフィス。
今患者さんが1か月以上待っているとは・・・

やはり都会の患者さんは意識が高いと言うか^^;
私が知る範囲で、東京でも歯内療法専門医の先生が10人もいないんで飽和状態であることは間違えないですね。


そうそう、澤田先生のオフィスで、色々また情報を仕入れて来ました。
中でも水酸化カルシュームの作り置きの方法と言うか固まらないエッセンスと言うか・・・

先月から粉末を練った形で水酸化カルシューム毎回スタッフに練ってもらっているのですが、
これが結構手間がかかってしまい。。。

まあ、慣れていないからと言われればそれまでなのですが

とりあえず明日から3日間分ぐらい作ってみます。
水酸化カルシューム大量に粉末があるので
50回練り直しても全く問題ないですね。

初診時の患者さん説明も非常に為になりました。
非常に患者さんにも分かりやすい説明で、私も説明用のスライドの作り替えをしないと。





聞いてはいけないシークレット情報も・・・(笑)






あっ、写真ですが
澤田先生の湯飲みです。
『東京医科歯科大学』と書いてあります。

カ、カッコイイ!!




来週の日曜の顕微鏡学会が終われば・・・
次の日地域の当直当番。。。

流石に3月末から休みなしは疲労が・・・



全く貯まっていません、むしろ波乗りに行けないストレスの方が貯まっています。
ん〜、波乗りする為に田舎で開業したのですが・・・
田舎大好きだけど(^〜^;)ゞ





何で休みに新幹線ばかり乗っているの俺!?

  

投稿者 eedental : 20:56 | - | - | -

2009年4月13日

残りは右上のみ!

私のスタンス並みに斜めに生えていた左下の親知らずを抜いてきました。

まず表面麻酔なしで、針の麻酔からだったので
「ぎゃ〜〜!蜂に眼球刺されるぐらい痛いー!!!」
と先走って覚悟してたけど、今日はあまり痛くなかったです。

フェイスタオルがなかったので、麻酔中は目を閉じてました ( - -)o-( ℃)- プスッ
麻酔が終わって、ふと眼を開けると、目の前にはメス!
「ひぃぃ〜〜〜、コワイヨーー」
恐怖に駆られました。
もうそこからは怖いもの見たさを抑制して頑なに視界をシャットダウン(−"−)

結局15分ぐらいで抜けちゃいました。
思ってたより早くて良かった(V^−°)

抜歯後の親知らずを見せてもらったんですけど、大きい!( ̄0 ̄)
ちょっと欲しかったけど貰うのはやめときました。

本日は安静第一(v_v)


お昼ご飯は果物の入った寒天と、スープのみ(・〜・)゛

投稿者 eedental : 12:09 | スタッフの『言いたい放題』 | - | -

2009年4月12日

お疲れさまでした。

コーヒー飲みすぎのの院長です^^;
           連日ビールも飲みすぎ傾向ですが。。。


そうそう、渡辺先生が今、「内覧会」をしているようなのでお暇な方は、医院を汚しに行ってみては!?
http://www.noahdental.com/

開業は4月18日からのようです。
4月18日にはタイヨウ先生&チッコロ軍曹もいるみたいですよ。

私は夜に合流ですが・・・



いやいや終わりました。
石井先生のセミナー

非常に面白かったです!!(」゜ロ゜)」


色々なことを収穫できました。

石井先生に最近の症例のコメントを頂けたのも良かったです。
来月あたりブログのネタにでもします
(年に2回ぐらいある完全なる神様症例で奇跡的な症例です)

先生のオフィス見学の約束も出来ましたし^^v

色々、収穫ありありです。
大臼歯の外科的歯内療法(今HP作成中です)時の患者さんの寝るポジションとか顎位とか、目から鱗です。
この発想は一生出ませんでしたね・・・


ここで残念なお知らせが^^;
次回のセミナーをもってこの4日コースは終了するらしいです。
(帰りに野田先生と話していたのですが、このボリュームでこのセミナー代は非常にお得なセミナーだと)

以降2日コースになって多少ボリュームダウンだそうです。
既に次回セミナー20人ぐらい申込みがあるとのことでしたから興味のある先生は是非早目に^^



やはりエンド(歯内療法)はエンドレスな学問だなと改めて感じました。。。
やはり成功率を上げるには技術・道具よりしっかりとした治療コンセプト『無菌的治療』だなと

次の課題は
『根充当日にコアを作ってしまう』

ここですね、どうシステムを作ろうか(><;)


かなりの論文紹介がありましたが、やはり有名どこの先生
グロスマン
トロンスタッド
マーチントロープ
ベルゲンホルツ

後世に残る素晴らしい論文をいくつも書かれていますねw(°o°)w



あまり多くは書きませんが、
1つ、
歯内療法をした歯は枯れ木同然と新聞にも出ていましたが、
枯れ木と言うと水分量が一気に減るようなイメージがあると思いますが、
実は・・・


「神経を取った歯の水分率は2%減少」 ―(T_T)→ドォ〜ン

と言う程度らしいのです。


で新聞を読まれた人はたぶん30%〜50%は減っているとイメージされているでしょうね。。。

ただし、神経を取った歯は歯の中を処置していて天然の歯より脆くなっていますので、
しっかりとした詰め物は必要ですよ。

奥歯であればクラウンなどで被せる、アンレーなどで咬む面を覆うなどが必要です。

この辺りも色々工夫しどころがあるのですが、長くなるので省略。


ホント
テレビ、新聞は怖い!!


ですから私のブログも50%以上「嘘」を書いているという認識で (°д°;;)
書いていませんけど^^;








野田先生お疲れさまでした。
セミナー後さんざん連れまわして申し訳ありませんでしたm(_ _)m



宇藤先生>
次回は是非飲みに行きましょうね!!




東京に来ると飲んでばっかりだな・・・( ̄Д ̄;)



明日はお世話になりまくりの歯内療法専門医の先生のオフィスに見学に行ってきます。

東京まで来たのだから新幹線代を取り返すつもりで勉強して帰ります。






東京遠いよ。。。
全くモグラ電車(地下鉄)の乗換分からないし・・・


投稿者 eedental : 23:26 | 歯内療法(エンド) | - | -

2009年4月11日

暑い(ノT_T)ノ^┻━┻

右半身をじゃりに埋めて寝る犬。
そんなんで眠って気持ちいいのか?

太字にする方法を覚えました

今日は土曜日ですがお休みです。
午前中から親知らずを抜くために口腔外科へ行ってきました。
もう来週の月曜日に抜いてきます。
左下なのでね、きっとまた腫れたり、口が開かなくなるんでしょうね・・。
日曜日の夜は口が開くうちに最後の晩餐をします。

あ、口腔外科言ったらそこの歯科衛生士が高校の同級生でした。

ん〜、立派になったな〜って親戚のおばさん的な感情が芽生えました。
話しかけてきてくれて嬉しかったです。


それにしても他の歯医者に行くとすごい緊張しますね。
手に汗が・・・
衛生士や助手の方の動きを観察するととても勉強になります。
こっそり歯を削る道具もチェックさせて頂きました( ̄ ̄ー ̄ ̄)V


投稿者 eedental : 13:44 | スタッフの『言いたい放題』 | - | -

2009年4月10日

お知らせ

院内の受付に

「歯科治療と『痛み』について」
「MTA直接覆髄法」

の説明が書かれた紙が置いてあります。

お手元に置いておかれると参考になるかと思います。
興味のある方はお持ち帰り下さい。

現在、「歯と歯の間の虫歯に関して」を作成中です。
しばらくお待ち下さい

投稿者 eedental : 11:44 | EEDENTAL NEWS | - | -

2009年4月9日

(-_-) zzz

先週の日曜日にお花見をしました
場所は豊川の佐奈川沿いです
川沿いに桜の木がずぅ〜っと植えられていて、花が咲くととても綺麗です
あいにくの曇り空で寒かったので、たこ焼きを食べてすぐに帰りましたε=ε=ε=(o- -)o
月曜日にも道を通ったら、晴れていて桜の花がひらひらと散って綺麗でしたρ(^o^)♪


4月26日〜5月6日までGWです。
先生が何回もお知らせしておりますが(* ̄∇ ̄*)
11連休ですかね!?すごい(^.^

しかし私は一つ不安なことがあります。
その連休中に仕事でせっかく覚えたことをすっかり忘れてしまいそうな気がします (ー.ー")
まだ働き始めて1ヶ月ちょっとなので、11日間やらないだけで海馬から記憶が一掃
されるんじゃないかと危惧しています。

でもそうしたらまた新鮮な気持ちで0から仕事が始められるからいい
わけない

パブロフの犬が如く、先生がレジンを手に持ったらよだれ!じゃなくて「わって」を用意だとか
外科用のバキュームに変えるだとか、もっと細かいとこまで条件反射で動けるように
なりたいです。

まだまだ訓練が必要( iдi )




投稿者 eedental : 00:58 | スタッフの『言いたい放題』 | - | -

2009年4月7日

★。、::。.::・'゜☆。.::・'゜★。、::。.::・'゜

こんばんわ、スライスカット小林です。

先生から頂いたお土産第2段★彡

京はやしやの「桜生チョコレート」
お、おいしい・・・
甘いというより甘じょっぱい

舌が肥える
まもなく体も肥えるでしょう(*´ー`)
先生ごちそうさまです!!ヾ(>▽<)ゞ


毎週日曜日はバイオの日です。
もう私はダメです。
詰まってしまいました(_´Д‘)

連打が遅い

ボタンを連打して崖から這い上がるシーン。
何回やっても崖の下に落ちていく。。
Xbox的には私の連打が遅すぎて連打に思えないんでしょうね、きっと。
私がこんなに必死なのに、許せんo(+_+。)(。+_+)o
連射パットってないですよね〜?

助けて、高橋名人。

私がこんなことに悩んでる間に
友達から結婚のお知らせメールが!!
おめでとう*:・°\(‘∇‘ *)










投稿者 eedental : 21:51 | スタッフの『言いたい放題』 | - | -

2009年4月6日

世界の『技』

温かくなったのに単車も放置、波乗りも行けず。。。

過労気味の院長です。  。。。(嘘)



先週の土曜は26時近くまで飲んで(~Д~)
(26時って何時だよ)

次の朝、6時起き・・・


意外と朝すんなり起きてしまいました。

と言うか7:01分の新幹線(ひかり)乗りおくれたら完全アウトなので嫌でも起きます。
都までは遠いです(><)


東京から豊橋まで毎週通って頂いている患者さんには脱帽ものの感謝です。

で新幹線の中で患者さんの説明用パンフを作って
(そのうち受付に「痛み」に関しての注意事項プリントを置きますので治療後に持って帰って読んでみてください)

会場に着いたのはスタート40分前でしたが、スタート10分前には満席状態に(推定:100人以上!?)
会場でもパソコンで仕事を続けていたのですが、開演前に隣を見ると次週見学をお願いしている先生が(笑)
「あっ、先生来週お願いします」m(_ _)m


フランチェスコ・マジョーリー先生
特にテクニック中心の講演でこれでもかと言うぐらいレントゲン写真と動画を見ましたね(笑)

『素晴らしい!!』 _φ(・_・)
の一言なのですが、

特に根管充填
ためになりました。

コンテニアス ウエーブド テクニックを用いられているようなのですが、

6番の口蓋根3根管って!!^^;
匠ですね。

はじめにシステムBと言う機械で根の先端を根充して(この方法は比較的側枝:根の枝まで根管充填出来る方法です)
その後根の上の部分をオブチュラVで根管充填するというものです。

シルダー先生の考えたシルダー法をブキャナン先生が簡易化させた方法なのですが。

因みにオブチュラVは販売されていません・・・、
その前の機種のオブチュラUは日本でも購入可能で、
私もヤフオクで展示品と書いてあったオブチュラUを6万円(新品は16万ぐらいします)で落札し持っているのですが・・・
部屋のどこか片隅に大切に放置されています(  ̄ ∇)

最近はウルトラフィル(オブチュラUと同じような根管充填機)のウォーマーをヤフオクで1万(新品は10万以上)でゲット!!

これも院長室の机の上に結構邪魔なオブジェとして放置してあります(  ̄ ∇)

今の物が壊れたら一軍昇格です。
(でも今のヒーター5年ぐらい壊れたことないのでいつ故障者リストに入るか!?)

最近もヤフオクで。。。
大体私が欲しい物って買い手がつかない商品が多くて・・・



あっ、そうそう
マジョーリー先生のコンテニアス ウエーブド テクニック
動画で簡単そうにしていたのですが・・・

腕なんでしょうね、普通あそこまで簡単にはできません(TT;)


で送られてきたメールに添付されていた画像と同じようなことしてみたので
左:マジョーリー先生
右:私

(笑)


あそこまでエンド(根の治療)が出来れば楽しいでしょうね。

ニッケルチタンの話も出てきましたが、
やはり折れるタイプの根管はあるみたいですね。

先日の石井先生のセミナーでもおっしゃられていましたが、ケースによっては手仕事の方がいい場合も出てくるでしょうね。
メーカーがこんな根管にもOKみたいな謳い文句でニッケルチタンファイル販売されていますが、
全てのケースに攻めれるのは考えものですね。

マジョーリー先生がおっしゃられていたファイルに頻繁にツイストファイルが出てきました。
はやり良いみたいですね。

今のニッケルチタンファイルは棒状の金属から削りだし+電気研磨
を行っているので完成した製品の時点で金属が疲労して微細なクラックが入っているそうです。

たまに卸したぶんの新品使っても、何か嫌な感じする時はたぶん・・・
聞いた話ですが、ブキャナン先生は新品のファイルでも直に捨て新しい物を使うと聞いたのですが、こう言うことなんでしょうかね!?

一方、ツイストファイルは
1本の棒状の金属をネジって作っているので今のものより疲労がファイルにかかっていません。

去年のAAE(アメリカ歯内療法学会)でもらってきたDVDカタログを見ても良いですね!!

海外通販で買おうと思ったものの高い!!
日本でも薬事申請はしているようなのですが、後数年かかるらしく。。。

「早くしてくれ!!」( ̄~ ̄;)
海外から試しで買おうか迷い早1年・・・

でも日本で購入できるいつも使っているニッケルチタンファイルの倍ほどのお値段

ハンドファイル(Kファイル) 1本140〜200円
ニッケルチタン        1本1000〜1300円
ツイストファイル        1本2400円     

1本2000円オーバーは痛いです!!
根管形成するには数本のファイルを使用する訳で。。。

ツイストファイルもいいのですが、日本で販売されているGTファイルの進化版の次世代GT−Xファイルも非常に気になるのですよね。
ニッケルチタンファイルの金属配合比が変わっていることが想像できます、よりフレキシブルになっていますねw(°o°)w

良いことです、誰が行っても使いやすい道具が理想ですね(^▽^)


頼むサイブロン デンタル 早く薬事通してくれ!!
日本で販売されれば1本1300円ぐらいでしょうか。




今日は
顕微鏡の世界では先駆者の三橋先生のオフィスを見学させて頂いきました、
2週後の顕微鏡学会で三橋先生が画像処理・管理のことを発表されるのですが、
その為に色々準備されているようでした。

時期が良かったのか、色々動画編集ソフトやカメラのことを教えて頂きました。
時代はハイビジョンカメラですか。。。〜(^Д^〜)

開業当時、そこまで全く考えていなかったですね。

治療も見せていただいたのですが、
間近でラバー・ウエッジテクニックを見せて頂きまた臨床のヒントを頂きました。
こういう使い方もあるのか〜(」゜ロ゜)」

極々小さな違いなのですが、明日から直ぐにマネしてみます。


三橋先生には昼飯御馳走になり、お土産まで頂いてしまい。。。

今回御馳走になってばかりで、

佃先生とはマジョーリー先生の講演が終わって焼鳥屋に飲みに行っていました(お腹減っていなかったので2人でビールばかり飲んでいました)

ホントすみません。
ありがとうございましたm(_ _)m


今週は土曜日、セミナーの為お休みさせて頂きます。
また、6時起きで東京にセミナー行ってきます。。。




波乗りの為の6時起きなら苦にならないんだけど・・・

_____________________________ お知らせ_________________________

ゴールデンウィークは
4月26日〜5月6日までお休みさせて頂きますm(_ _)m

投稿者 eedental : 20:00 | 歯内療法(エンド) | - | -

2009年4月5日

オールレジン症例

初めて全てレジンで治療した症例です。

もう少ししたらホームページの変更をしていきます。

症例追加しました
セラミック : http://www.eedental.jp/contents/medicalcase/ceramics.html

レジン : http://www.eedental.jp/contents/medicalcase/plastics2.html

ゴールデンウィーク
4月26日〜5月6日までお休みさせて頂きますm(_ _)m

投稿者 eedental : 00:57 | EEDENTAL NEWS | - | -

2009年4月4日

4月〜5月の予定

4月の休みは忙しい!!

ゴールデンウィーク
4月26日〜5月6日までお休みさせて頂きますm(_ _)m

波乗り・趣味で忙しい訳ではありませんよ(T◇T)




お仕事です。。。

第1週目の明日
フランチェスコ・マジョーリ先生(イタリア)
の話を聞きに東京まで始発で行ってきます。

6時起きかい・・・


4月6日の月曜は、
顕微鏡治療の大御所の三橋先生の歯科医院見学をしてきます(^−^)

櫻井先生曰く、三橋先生のオフィス
「マイクロの森」と言っていましたから、何台顕微鏡があるか数えてきたいと思います(笑)



今月、東京と大阪の往復が多くて(4月19日の顕微鏡学会は名古屋)
移動費だけで7万以上・・・

宿泊費はじゃらんで宿決めましたが・・・



とんでも戦士
『ムテキング』になれる日まで頑張りますか・・・(><)





ゴールデンウィーク
4月26日〜5月6日までお休みさせて頂きますm(_ _)m

投稿者 eedental : 20:53 | EEDENTAL NEWS | - | -

2009年4月2日

((((( ( (ヽ(^0^)/

先生が勉強会に行かれた際にお土産を買ってきて下さいました!
ワッフルとしおりです☆彡
ワッフルの箱の中はすでに空です。オーブンで温めておいしくいただきましたL(@^▽^@)」
箱の上についているのがしおりです、小鳥、かわいい(*^o^*)♪


最近XBOX360でバイオハザード5を始めました。
ライフルにショットガン、グレネードランチャーを装備している小心者です(´∞`)
アーマーも装備してましたが、アイテム欄が一つ埋まってしまうのでやめました。

プレイして何が難しいってこれは操作ですねσ(TεT;)
PSと決定、キャンセルボタンが逆の位置にあるので操作ミスばかりしてます。
誰もいない空間に向かって虚しく回復用の救急スプレーをまき散らす。

やりました


前作からバイオをやり始めたのですがマーセナリーズを楽しみにしてます。
暴走チェンさんと日付が変わり明け方まで戦いを繰り広げたのが良い思い出です。

決選に備えて早く操作に慣れなくちゃ(>.<)y-~~~

投稿者 eedental : 00:09 | スタッフの『言いたい放題』 | - | -
<< 2009年4月 >>
      1 2 3 4
5 6 7 8 9 10 11
12 13 14 15 16 17 18
19 20 21 22 23 24 25
26 27 28 29 30