今年1年ありがとうございましたm(_ _)m

お正月 
12月28日〜1月5日までお休みさせていただきますm(_ _)m


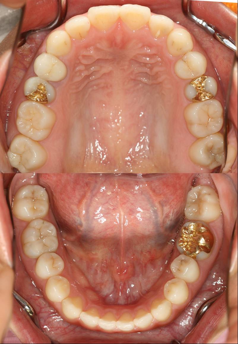
ここで質問です

今年ベスト3に確実に入る治療ですから難易度高いです。



さて、何箇所治したでしょう!?(;¬_¬)  
http://www2.ha-channel-88.com/bbs/upimg/?l=2365


レジン  ○本  ゴールド 3本  オールセラミック 1本

          


















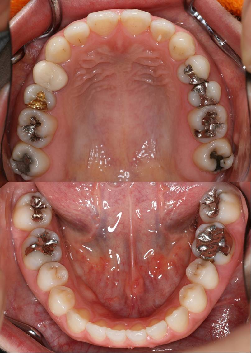
答えは、

http://www2.ha-channel-88.com/bbs/upimg/?l=2364


レジン治療11本でした


長い間お疲れさまでした
メンテナンス頑張ってくださいね!!ヾ(>▽<)ゞ




写真は、
今年1年で患者さんにもらったギザ10です。

こちらもありがとうございました。

ご協力ありがとうございますあ ( ̄○ ̄)り( ̄◇ ̄)が( ̄△ ̄)と( ̄0 ̄)う( ̄ー ̄)

最近自力では収拾出来なくなってきました。
完全こちら他力本願ですm(._.)m




次週、
今の私のレジン治療をおおくりします(・_・)v

  

投稿者 eedental : 20:46 | EEDENTAL NEWS