お疲れさまでした

先週末Finishでした。

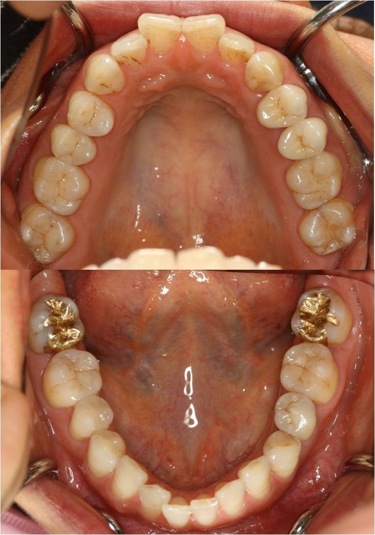
術後
http://www2.ha-channel-88.com/bbs/upimg/?l=2963

・エンド
・レジン
・ジルコニア(セラミック)
・ゴールド修復

私が出来る治療選択肢これしかないですが・・・


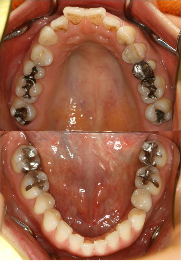
術前
http://www2.ha-channel-88.com/bbs/upimg/?l=2964


半年間、埼玉県から通院お疲れまさでした。

衛生士:「先生知ってます!?埼玉県って遠いんですよ!!」
(院長先生もナメラレたものだ↓)



メンテナンス頑張ってくださいね。


ご主人はもう少し通院してくださいm(_ _)m

投稿者 eedental : 00:24 | EEデンタル こだわり