臼歯のレジン

発表のネタ。

レジン中心で行こうかとスライドをチマチマ作っております。


只今 30/50枚

投稿者 eedental : 21:24 | レジン(プラスチック) | - | -

お知らせ

お盆休みを8月16〜19日まで取らせていただきます。



写真は医院の前を走る路面電車
夏はビール
冬はおでん(酒あり)

電車が走っています。

電車の中でビールなんか飲んだら酔いが早そう^^;


投稿者 eedental : 15:55 | EEDENTAL NEWS | - | -

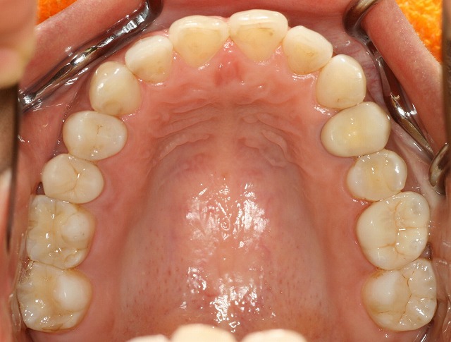
審美治療

白い詰め物
・ハイブリットレジン
・レジン治療

4箇所治療を行っています。
さてどこを治したのでしょうか!?








答え
http://www.eedental.jp/blog/archives/2009_7_26_496.html

投稿者 eedental : 17:02 | レジン(プラスチック) | - | -

答え

矢印の場所を治療させていただきました。

他の白い詰め物はウチで治療したところではないのですが、
同じレジン治療、ハイブリットレジンと言うものです。


同じ治療法でも見た目、適合には差が出ます。


審美治療を受けるのであればより綺麗に、より本物らしく治療する必要があると私は考えています。




口の中だから後で悔しない為にも、きちんと治療をしておかれた方がいいと思います。

投稿者 eedental : 15:56 | レジン(プラスチック) | - | -

強制日記〜途中経過〜

前回から約1か月が経ちました\(・_・ )
歯は順調に動き続けています(^○^)
パワーチェーンで牽引し続けているので、4番の歯がやたら隙間が目立ちます。
歯磨きが少しめんどくさくなってきました(゜σ゜)
矯正用の歯ブラシで磨いて、大きな隙間に歯間ブラシ通して、
仕上げにワイヤーをくぐらせてフロスを通す。
でも最初よりだいぶフロスを通すのは速くなりました。

8月3日に荒木先生の所に行ってきますC= C= C= C=┌( ・_・)┘→→→

早く新しいワイヤーに交換したいです!

あらき矯正歯科

投稿者 eedental : 13:17 | 矯正ってドウなの!? | - | -

そろそろ始動(イヤイヤ)

日曜油断して日焼け止めを付けず海に入ってしまった院長です。

今日辺りから顔が脱皮を。。。



7月もそろそろ終りなので、
9月の講演のスライドを作らなくては・・・


とりあえず今日からネタ探しをします。

といっても
・歯内療法
・レジン

しか症例ないのですが。。。


1時間の持ち時間なので50枚ぐらいスライド作っておけばいいかな!?



写真
この前のダイレクトベニア(真ん中の歯)から横の歯も治しました。
マニアックに左上2番は褐線入れてみました(笑)

投稿者 eedental : 21:49 | EEDENTAL NEWS | - | -

バウンドドッグ

バウンドドッグ

可変モビルスーツ



らしいです。




なんですか可変って。。。

投稿者 eedental : 17:14 | スタッフの『言いたい放題』 | - | -

ニュー北欧家具 

神戸から転校生が来ましたぁ〜!!(≧∇≦)

なかなかいい感じです!!







なぜか、趣味のものが増殖していく。。。

原因はあたしなんですが・・・



実家のサーフボード(お気に入りボードが5〜6本ぐらい)を退かせ退かせうるさいので(>。☆)
医院のどこかに置こうか。。。

とりあえずヤフオクでボードスタンドでも探そうか!?(-_-)ゞ゛

投稿者 eedental : 20:48 | EEDENTAL NEWS | - | -

北欧家具 2点目

1年前ぐらいにヤフオクで購入

投稿者 eedental : 20:38 | EEDENTAL NEWS | - | -

北欧家具 1点目

開業と同時に購入

投稿者 eedental : 20:36 | EEDENTAL NEWS | - | -

バウンドドッグ!!?

そう言われたらそう見えてきた!(・o・) (・o・) (・o・) (・o・) (・o・)



画像
http://www.eedental.jp/blog/archives/2009_7_18_497.html

投稿者 eedental : 21:01 | スタッフの『言いたい放題』 | - | -

歯内療法 根管充填後のレントゲン

術後のレントゲンですが、私は必ず2枚のレントゲンで確認を行います。
(術前もそうなのですが^^;)

写真
:正方線(フィルムに対して真直ぐレントゲン線を当てる)
:遠心投影(フィルムに対して少し後ろからレントゲン線を当てる)

こうして2枚のレントゲンを撮ることで3次元の根管を写真である程度把握することが出来ます。
レントゲンは影絵です、1枚のレントゲンで全ての病状が映し出される訳ではありません。

例えば、
左のレントゲンでは2本の白い線しか見えません。
しかし、角度を変えて撮影した右のレントゲンでは白い線が4本見えます。
(この歯の根の数は4本なので4本線が見えないときちんと根管充填出来たとは言えません)

2枚のレントゲンを撮ることでレントゲン情報をより正確に得ることが出来るのです。


ただ、
どれだけレントゲンを撮っても細い神経管は写ってこないので、大きな神経管の状況だけレントゲンで分かると覚えていてください。







個人的な感想なのですが、
1年後のレントゲン撮影が楽しみな症例ですo(^o^o)(o^o^)o
  

投稿者 eedental : 17:14 | EEデンタル こだわり | - | -

歯内療法 根管充填

術前(左) 術後(右)

根管充填はコンテ二アスウェーブで^^



実は、この歯年に1本あるかどうかの歯でかなり時間がかかっています。
長期治療と言っても水酸化カルシューム入れて放置しているだけなのですが(笑)


治療スタート時には毎回膿が出ていた歯なのですが、治療の後半では全く膿も出なくなってきました。
根の治療から根管充填まで時間が経過しているので根管充填時には骨が出来てきています。



何とか治ってくれぇ〜!!
 

投稿者 eedental : 17:10 | 歯内療法(エンド) | - | -

動画

動画を上げましたので

【隔壁&隠れた根管】
http://www.youtube.com/watch?v=oguHg_5ilFQ&feature=channel


【ファイバーコア(レジンコア)】
http://www.youtube.com/watch?v=dYvjPiA1gyI&feature=channel

投稿者 eedental : 06:46 | EEDENTAL NEWS | - | -

今週のまとめ

ブキャナン先生の話を聞きにいったのですが、

エンドドンティストの寺内先生の話の方が私的には面白かったです(*^ー^)/



面白かったのが、

歯内療法(大臼歯の根の治療)  マクドナルド1食平均 をアジアとアメリカの平均価格を書いていました。

まずアジア

           歯内療法(大臼歯の根の治療)     マクドナルド1食平均
・日本            9500円(保険)               490円
・フィリピン        72000円(専門医)             100円
・マレーシア       60000円(専門医)             120円
・シンガポール      72000円(専門医)             150円
・アメリカ        180000円(専門医)             300円

*初診代、レントゲン、CT撮影、隔壁は別に費用がかかります。

桁を打ち間違えた訳ではないですから・・・

日本の治療費なんと9500円!!
しかも今なら3割負担なので3000円ちょっと!!


毎日がお値打ち です。                              スーパーじゃないんだから(>。☆)



と言うか「日本のマック」世界的に見ると高いんですね( −з)



因みに水酸化カルシューム貼薬、日本では300円ぐらいですが、ブキャナン先生は125ドル(12500円)だそうです。。。

40倍の差・・・
どこにこんな差が生まれたのか!?(。_+)



ブキャナン先生も
「良い治療をする為には治療費を貰うべき」とおっしゃられていましたが。。。

日本は保険で決められた金額で何とか良い治療をしないといけないんですけど!?

以前聞いた話では、
アメリカの先生などは日本の歯科医師が行った根の治療を馬鹿にするらしいです。
「レベルが低いとか・・・」

じゃあ、
「痛いから9500円で治療してくれ」とアメリカの先生に言えば200%断るでしょうね。
あちらはお金がないと医療そのものが受けられない国ですから・・・

病院に行ってまず、『支払能力』があるか調べる国




怖っ!!( ̄д ̄;)


同じ土俵で技術だけを見れば絶対日本人歯科医師の方が上を行くと思いますけどね(TεT;)

でも医療は技術だけではなく、
1、患者さんの話から情報を聞き出す能力
2、適切な検査をチョイスする能力
3、検査の結果から診断を下す能力
4、適した処置・治療を選択する能力

その後に『技術』が来るので
技術が凄い=素晴らしい先生 とはなりません。
1,2,3,4、に関しては海外の歯科医師に比べて劣っているかもしれません。(自分含め)



話がそれました。


今回ブキャナン先生が来日講演したのは、
先生がデザインした4世代目のニッケル・チタンファイル(GT-X)のCMの為です。

Rフェイズと言う折れにくい特殊な処理がされたニッケル・チタンファイル
いいですよ、このファイル!!

個人輸入して使用していますが、前のGTファイルよりフレキシブルで使いやすいd (>◇< )
写真が医院にあるTFGT-Xです。

と言っても私的にはTFファイル(同じRフェイズ)の方がいい感じですが・・・
でもTFは太いファイルに関してはあまり対応しきれていないので、トータルで見るとGT-Xの方に軍配が上がりそうです。
*最近になりTFファイルも太いファイルがラインナップされているようです。
http://www.sybronendo.com/index/sybronendo-shape-tf-02

日本でももう少ししたら販売されるようなのですが、ここでネックになるのがコスト。。。(ー’`ー;)

私が個人輸入しているTFファイルは激高です。
ファイル1本24ドル 約2400円です。

これを最低3本以上使用して根管形成していきますが、4本ファイルを使用したと過程して、
2400×4=9600円

ほぼ保険の治療費と同じです。。。
消耗品はファイルだけではありません、他にも色々あります。
治療費の中には技術代、人件費、など色々含まれます。


いくら良い材料が出ても日本で使われるというと・・・







難しい問題です。。。( ̄~ ̄;)



個人レベルでは海外に勝つつもりではいますけど(`0´)

投稿者 eedental : 00:47 | 歯内療法(エンド) | - | -

眠い。。。

酒も入っており、眠いです。。。


AM 3:55 起床

AM 4:20 当然やることは波乗り

AM 5:50 海から上がり豊橋駅へ

AM 7:01 新幹線で東京へ(死んだように寝ていました!!)

AM10:00 ブキャナン先生&寺内先生の講演を聞きに

PM 4:00 講演終了

PM 5:00 知り合いの先生と飲みに行く
        (宇藤先生、野田先生貴重なお時間ありがとうございました)

PM 9:30 ホテルへ


それにしても長い1日だった。。。


明日の午前中は歯内療法専門医の石井先生の歯科医院へ見学

午後は新幹線で豊橋に帰り、そのまま海に直行

で車に前日から放置してある濡れたままのウエットを着て夕方の最終ラウンドに入水予定



休みだからねぇ〜、色々する予定です。

投稿者 eedental : 09:31 | 院長の趣味の世界 | - | -

買っちゃった!!

今週の日曜・月曜と神戸の師匠の所に行っていました。

いやいやモチベーション上がります。
色々話と学ぶところ満載で、

サバイバルレイト(Survive)とサクセスレイト(SUCCESS)は確かに違いますよね。。。

久々に辻さんとも話が出来たし(⌒ー⌒)



そうそう、神戸に行くと毎回家具屋に行くのですが、
こちら http://www.equiv.net/shop/data/ss011/

また、北欧家具買ってしまいました。。。

あっ、医院用のね(^。^;)


でもビックリしたのが店のなかウロウロしていたら、
「井野さんですか!?」

と店員さんに声をかけれられ

よく一度(3ヶ月前)紙に名前を書いただけで顔と名前を覚えているものだ!!
サービス業の店員としては鏡ですね。Ψ(・O・)Ψ

買ったんですがまだ医院にはありません。。。

家具の研磨とワックス掛けをしてから送るとのことで1ヵ月後に医院に届きます
もう置く位置は決まっているんだけどね〜m(~ー~m)


今から楽しみだ


ついでに写真の石も買ってきました。
医院のどこかにおいて置きます(((( ・_・)/







因みに店員さんは私の職業「飲食関係」と思っていたらしくそちら方向で話が永遠流れていました。

このままカフェレスト経営者で貫こうか。。。(ΦωΦ)

投稿者 eedental : 16:47 | EEDENTAL NEWS | - | -

納涼祭

豊橋では6月中に豊橋公園で納涼祭が行われていました。
調べてみたら大正時代がら続くそうです。

今年も行きそびれた。

なんか…行きたいな〜って思っても人がいっぱいだし、駐車場いっぱいそうだし
やっぱりいいやってなっちゃいますよね(´ρ`)

そんなに綿菓子も食べたくはない。
ちょっと食べたいだけ。

豊橋公園近くのコンビニが「ここは納涼祭のための駐車場ではありません」って
看板を毎年出しているにも関わらず、明らかに通常よりも多い車が停車しているのを
見るのが恒例です(*´ー`)

投稿者 eedental : 16:09 | スタッフの『言いたい放題』 | - | -
<< 2009年7月 >>
      1 2 3 4
5 6 7 8 9 10 11
12 13 14 15 16 17 18
19 20 21 22 23 24 25
26 27 28 29 30 31