審美治療症例
プラスチック治療 / セラミック・全顎治療
ブログで詳しく!院長のプラスチック(レジン)治療
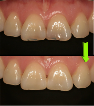
- プラスチック(レジン)治療:CASE1.すきっ歯を大きく削らず治す

- 隙間をなくすには大きく削って被せる方法と、隙間にレジンを詰める方法があります。
- 患者さんはなるべく削りたくないとのことでレジン治療を行いました。
- 参考ブログ:
- http://eedental.jp/ee_diary/2014/04/post-943.html

- プラスチック(レジン)治療:CASE2.すきっ歯を大きく削らず治す

- 隙間をレジン治療にて自然な感じに修復しました。
- 参考ブログ:
- http://eedental.jp/ee_diary/2014/03/or-2.html

- プラスチック(レジン)治療:CASE3.変色したレジンを綺麗に治す

- レジンは経年変化で黄色から茶色に変化します。また詰め物も大きな段差があり
- 歯肉炎の原因になっていました。段差がないように自然な感じに修復しました。
- 関連ブログ:
- http://eedental.jp/ee_diary/2013/11/post-872.html

- プラスチック(レジン)治療:CASE4.気になる前歯の再治療

- 大きな修復でも手間と時間をかければ
- 被せずに残す治療が可能です。
- 参考ブログ:
- http://eedental.jp/ee_diary/2014/07/post-994.html

- プラスチック(レジン)治療:CASE5.変色したレジン治療のやり代え

- レジンは中、長期的に変色や着色が起こってしまう材料です。
- しかし、丁寧に治療を行えば再びレジンでこのように綺麗に治すことが可能です。
- 参考ブログ:
- http://eedental.jp/ee_diary/cat23/2014/06/

- プラスチック(レジン):CASE6.酸蝕症(嘔吐)で歯の裏が溶けた歯

- 摂食障害で嘔吐を繰り返し胃液が歯に絶えず触れることで歯の裏側が溶けてしまうこと
- があります。
- 今回薄くなった歯を裏側からレジン充填を行い自然な歯の色調に戻しました。
- 関連ブログ:
- http://eedental.jp/ee_diary/2014/12/post-1091.html

- プラスチック(レジン)治療:CASE7.折れた前歯を自然な感じに治したい

- レジンを詰めたのだがもっと自然な感じにならないか?とのことで来院
- 関連ブログ:
- http://eedental.jp/ee_diary/2014/01/1-2.html

- プラスチック(レジン)治療:CASE8.変色した前歯のホワイトニング+レジン治療

- 神経を取った歯は中・長期的に黒、褐色に変色します、今回歯が多く残っていたので
- 歯の中からホワイトニング(インターナルブリーチ)を行いレジン充填で修復を行いました。
- 関連ブログ:
- http://eedental.jp/ee_diary/2013/10/post-859.html

- プラスチック(レジン)治療:CASE9.歯が折れても神経を保存しレジン充填

- 転んで前歯を折ってしまい神経まで露出していましたが、直接覆髄法を行いその上にレジンを詰め歯の修復をおこないました。
- 関連ブログ:
- http://eedental.jp/ee_diary/2014/08/post-1016.html

- プラスチック(レジン)治療:CASE10.歯と歯の間の虫歯治療

- 歯と歯の間の修復は1回目が非常に重要になります。
- 出来るだけ削る量を抑えれるのがレジン治療のメリットになります。
- 参考ブログ:
- http://eedental.jp/ee_diary/2014/05/post-938.html

- プラスチック(レジン)治療:CASE11.奥歯のレジン治療

- 奥歯の治療は難しく適合のあまりよくない銀歯をレジン治療にて修復
- 参考ブログ:
- http://eedental.jp/ee_diary/2014/03/post-939.html

- プラスチック(レジン)治療:CASE12.大きく削ってしまった銀歯のやり代え

- 銀歯を入れる際に便宜的に健康な部分を大きく削り精度を上げる方法があります。
- このような治療をしてしまうとレジン治療の難易度が上がってしまうことがあります。
- 参考ブログ:
- http://eedental.jp/ee_diary/2014/03/post-924.html

- プラスチック(レジン)治療:CASE13.神経に達する大きな虫歯を被せず治す

- 歯と歯の間にものが詰まるが放置してしまった為に虫歯が神経までに達してしまいました。
- 顕微鏡下でなるべく健康な歯を削らずすむような治療を行いました。
- 関連ブログ:
- http://eedental.jp/ee_diary/cat23/2014/10/
- 関連動画:
- https://www.youtube.com/watch?v=mxsQAdnDdjg

- プラスチック(レジン)治療:CASE14.気になる銀歯を治したい

- 笑うと見えてしまう銀歯、気になる方はこのようにレジンで白く治すことが可能です。
- 関連ブログ:
- http://eedental.jp/ee_diary/2014/05/post-952.html

