審美治療症例
セラミック・全顎治療 / プラスチック治療
ブログで詳しく!院長のセラミック治療 / 全顎治療
- セラミック治療:CASE1.矯正治療を絡ませたセラミックブリッジ

- 戦術?戦略?的な前歯の総合治療
- http://eedental.jp/ee_diary/2014/09/post-1037.html [ch0]

- セラミック治療:CASE3.歯肉炎の原因になっている被せ物のやり代え

- 被せ物の精度が悪く、隙間があると歯茎が腫れることがあります。
- 段差がないようにセラミッククラウンで治療を行いました。
- 関連ブログ:セラミッククラウンの適合の違いによる歯茎の変化
- http://eedental.jp/ee_diary/2014/09/post-1028.html

- セラミック治療:CASE4.矯正後のグラグラ揺れた前歯の治療(連結セラミック)

- 矯正治療により歯が揺れてきてしまいセラミックを連結して動揺を防ぎました。
- ブログ:根管治療+連結セラミック治療
- http://eedental.jp/ee_diary/2014/09/post-1031.html

- 全顎治療:CASE1.銀歯の下の虫歯を治したい

- レジン治療13本 セラミッククラウン1本 歯内療法1本
- ブログ:EEデンタルが自費専門になった理由
- http://eedental.jp/ee_diary/2014/12/post-1080.html

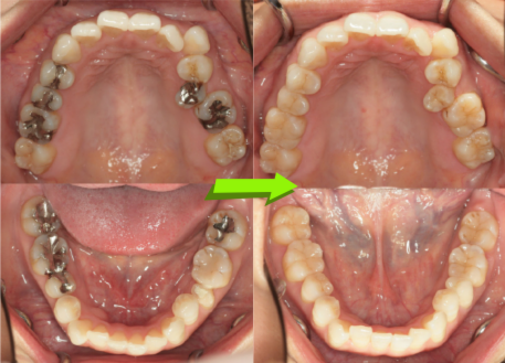
- 全顎治療:CASE2.治しても治しても年々悪くなる歯

- 治療本数:レジン治療16本 セラミッククラウン1本 ゴールドクラウン1本 歯内療法1本
- 参考ブログ:口全体にある目立つ銀歯を白く健康的に治す
- http://eedental.jp/ee_diary/2014/03/post-934.html

- 全顎治療:CASE3.金属アレルギーの治療

- 治療本数:レジン治療9本 セラミッククラウン1本 歯内療法1本
- ブログ:金属アレルギーの患者さん
- http://eedental.jp/ee_diary/2014/09/post-1032.html

- 全顎治療:CASE4.笑うと気になる銀歯を白く治したい

- 治療本数:11本のレジン治療、1本のセラミッククラウン
- 参考ブログ:レジン中心で治す『全顎治療』
- http://eedental.jp/ee_diary/2014/02/post-921.html

- 全顎CASE5.40代、50代の方へ 全顎治療の勧め

- 治療本数:レジン治療12本 セラミッククラウン4本 歯内療法3本 ゴールドクラウン1本
- 参考ブログ: 40代、50代の方へ、全顎治療の勧め
- http://eedental.jp/ee_diary/2014/06/post-976.html



