EEdental:症例倉庫 全顎治療

歯内療法専門医,根管治療(根幹)専門医,レジン治療,ラバーダム,マイクロスコープ
愛知県豊橋市広小路3丁目65-106 アルバックス広小路1F TEL:0532-57-7707

歯内療法専門医,根管治療(根幹)専門医,レジン治療,ラバーダム,マイクロスコープ

 症例倉庫 全顎治療(下記の各症例をご覧下さい)

全顎治療

全顎治療

case5.png銀歯のしたの虫歯治療や、全顎治療
銀歯の交換や、全顎的な治療を紹介します。

レジン治療(前歯)

case6.jpg見た目の改善など
前歯のレジン治療を紹介します。

レジン治療(奥歯)

ocase5.png歯と歯の間の治療 銀歯の交換 
奥歯のレジン治療を紹介します。

セラミック治療

case7.png白い歯の治療比較
セラミックの被せ物と保険の白い被せ物
セラミックでは透明感のある天然の歯と同じ物を再現できます。

 CASE02. 全顎治療

 CASE03. 全顎治療

 CASE04. 全顎治療

 CASE05. 全顎治療

 CASE06. 全顎治療

 CASE07. 全顎治療

 CASE08. 全顎治療

 CASE09. 全顎治療

 CASE10. 全顎治療

  • CASE1.全顎治療のコメント
  • point.png
  • レジン治療:10本 / セラミック治療:1本 / ゴールド:3本 / その他:MTA直接覆髄法、歯内療法 / 治療期間:11ヶ月
  • 全顎治療

  • CASE2.全顎治療
  • point.png
  • レジン治療:9本 / セラミック治療:3本 / ゴールド:2本 / その他:歯内療法 / 治療期間:10ヶ月
  • 全顎治療

  • CASE3.全顎治療
  • point.png
  • レジン治療:14本 / ハイブリットアンレー:1本 / その他:MTA直接覆髄法、ホワイトニング / 治療期間:5ヶ月
  • case3.png

ページの先頭へ

  • CASE4.全顎治療
  • point.png
  • レジン治療:13本 / その他:MTA直接覆髄法、ホワイトニング / 治療期間:8ヶ月
  • case4.png

ページの先頭へ

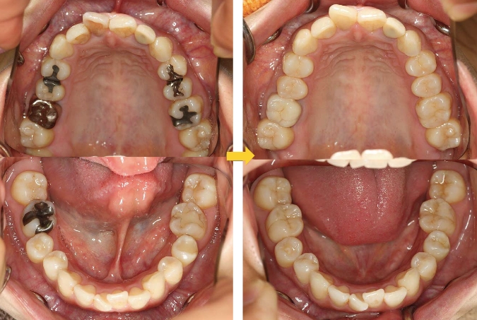
  • CASE5.全顎治療
  • point.png
  • レジン治療:10本 / 治療期間:3ヶ月
  • case5.png

  • CASE6.全顎治療
  • point.png
  • レジン治療:11本 / ゴールド:1本 / その他:MTA直接覆髄法、ホワイトニング / 治療期間:6ヶ月
  • case6.png

ページの先頭へ

  • CASE7.全顎治療
  • point.png
  • レジン10本 セラミック1本 ゴールド2本 その他:MTA直接覆髄法、歯内療法
  • 治療期間7ヶ月
  • case7.png

  • CASE8.全顎治療
  • point.png
  • レジン治療12本 ハイブリットアンレー3本 セラミック治療3本 ゴールド2本
  • その他:歯内療法 治療期間11ヶ月
  • case8.png

  • CASE9.全顎治療
  • Point
  • レジン治療12本 / ハイブリットアンレー2本 / 根管治療1本 / 治療期間5ヶ月
  • CASE9.全顎治療

  • CASE10.全顎治療
  • Point
  • レジン治療17本 / セラミック治療1本 / その他:歯内療法2本 / MTA直接覆髄 / 治療期間7ヶ月
  • CASE10.全顎治療

ページの先頭へ