歯の神経の治療
院長の歯内療法症例 2013年〜2014年
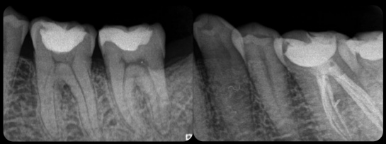
- CASE1.珍しい6本の神経管の抜髄根管治療

- 奥歯の神経管の数は3~4本とされていますが、今回の歯の神経管は6本の複雑な形態でした。顕微鏡下で丁寧な治療を行うことでより予知性の高い治療が可能となります。
- 関連ブログ:「抜髄根管は難しい (人生初の6canal) 」
- http://eedental.jp/ee_diary/2013/01/6canals.html

- CASE2.3mmの穴からの抜髄根管治療

- 他院でセラミックインレーを入れた後に、温水痛、自発痛が出てしまい神経の治療が必要となりました。
- 適合の良いセラミックでしたので歯に3mmの穴をあけて、そこから根管治療を行いレジン充填を行いました。
- 関連ブログ:虫歯が大きく神経付近まで削った歯のリスク
- http://eedental.jp/ee_diary/2014/01/post-904.html

- CASE3.大きな虫歯による神経の治療とビルドアップ治療

- 定期健診で大きな虫歯を指摘され、なるべく削らない方法で治療を依頼されました。
- 根管治療後レジンでビルドアップして歯の形態を整えました。
- 参考ブログ:http://eedental.jp/ee_diary/2014/03/post-928.html

- CASE4.被せ物をした後に痛む歯

- 神経を残したまま削った歯が歯髄炎になってしまい、咬めないとのことで来院。
- 適合のよい被せ物だった為3mm程度の穴を開け根管治療を行いました。
- 関連ブログ「歯の長持ちさを考える歯内療法」
- http://eedental.jp/ee_diary/2014/01/post-895.html

- CASE5.石灰化による神経管の閉鎖と長期の違和感

- レントゲン上の黒い丸い玉は、細菌が骨を溶かしたもので膿の袋になっています。
- 神経を取った歯の2本に1本がこのような状態になっており、放置すると様々なトラブルを引き起こします。
- 神経の生きていた歯でも大きく削る治療などを受けられるとその後神経が細くなり
- やがて神経が死んできてしまうことがあります。 非常に治療の難度が高くなります。
- 関連ブログ:http://eedental.jp/ee_diary/2014/02/post-917.html

- CASE6.根尖病変とパフォレーションリペア

- 冠婚治療の不備で根の先には膿の袋、太い金属の土台の為歯には穴があき、歯茎から膿が出ている状態でした。
- 関連ブログ:チャレンジケースの根管治療
- http://eedental.jp/ee_diary/2014/11/post-1073.html

- CASE7.長期間放置した虫歯の治療

- 一度虫歯になるとどんどん中に進行してしまい、広がっていきます。
- 関連ブログ:可能な限り歯を残す治療
- http://eedental.jp/ee_diary/2014/11/post-1071.html

- CASE8.下顎の骨が無くなるくらい大きな膿

- 口腔外科からの依頼で、このまま抜歯すると骨が大きく無くなり過ぎてしまう為
- 一度根管治療で骨が治らないかやってもらいたいとの依頼でした。
- 関連ブログ:大きな病変を根管治療で治す まとめ&報告
- http://eedental.jp/ee_diary/2014/07/post-992.html

- CASE9.1年根管治療しているが治らないという歯

- 根管治療は長く続けても治る治療ではありません。
- 今回の歯は、裸眼で歯見つけにくい細い神経管を見落としていた為に問題ない神経管まで大きく削ってしまい問題を複雑化していました。
- 関連ブログ:「難しい根管治療と転院の時期」
- http://eedental.jp/ee_diary/2013/09/post-843.html

- CASE10.根管治療中に腫れてきた歯の保存

- 大きく削った歯はいつの間にか神経が死んできてしまうことがあります。
- また今回のケースは年に2~3件起こってしまうフレアーアップケースでした。
- 関連ブログ:根管治療に付きもののフレアーアップ
- http://eedental.jp/ee_diary/2014/10/post-1042.html

- CASE11.根未完成歯の感染根管治療

- 大人の歯の先が完成する前に神経が死んでしまい歯茎から膿がずっと出ていました。
- 関連ブログ:根未完成歯の根管治療から2年後
- http://eedental.jp/ee_diary/2014/11/post-1068.html

- CASE12.保存不可能といわれた歯の保存治療

- 被せ物が外れてしまい、何件か歯科医院で相談してみるものの抜歯が妥当との判断
- 何とか残したいとのことで来院された患者さんになります。
- 関連ブログ:歯を残したければ「歯科口腔外科」ではなく「保存科」へ
- http://eedental.jp/ee_diary/2014/06/post-984.html

- CASE13.直接覆髄後神経が死んでしまった歯

- 歯に3mmの小さな穴を開けそこから顕微鏡を用いて根管治療を行いました。
- 関連ブログ:大きな虫歯の神経を残すリスクについて
- http://eedental.jp/ee_diary/2014/10/post-1060.html [ch0]

- CASE14.根尖病変による違和感

- 他院で治療を受けたが、違和感があり咬むと痛い。治療した先生は問題ないと言うが・・・
- 関連ブログ:イスムスの取り扱いと治療の難しさ
- http://eedental.jp/ee_diary/2014/12/post-1090.html [ch0]

- CASE15.他院で治療してもなかなか治らない大きな病変

- 治療に行くたびに激痛が起こり、なかなか膿も止まらないとのことで来院
- 水酸化カルシュームという薬剤を押し出す間違った治療が行われていました。
- 関連ブログ「根管治療の水酸化カルシュームの使い方」
- http://eedental.jp/ee_diary/2012/12/post-659.html

- CASE16.移植歯の根管治療(超湾曲根管)

- 移植を手掛ける先生からの依頼で、移植後に神経の治療を行いました。
- 歯が非常に彎曲しており難易度が高かったですが、綺麗に治療が行えました。
- 関連ブログ:歯内療法専門医のとしての意地!(移植歯の根管治療)
- http://eedental.jp/ee_diary/2014/02/post-911.html

- CASE17.感染根管治療では治らない歯の治療

- 感染根管治療では治癒せず、歯を残す最終手段の外科的歯内療法で治療を行いました。
- 関連ブログ「顕微鏡で行う下顎第一大臼歯の外科的歯内療法」
- http://eedental.jp/ee_diary/2013/11/post-863.html

- CASE18.ファイル破折除去

- 根管治療を行うと神経を取るファイルというヤスリの金属が2本
- 折れ込んでいました。ファイル除去後無事に治療を終えました。
- 関連ブログ:「根管治療には付きもののファイル破折×2」
- http://eedental.jp/ee_diary/2013/12/post-874.html

