Home> マニアックレジンアーカイブ

マニアックレジンの最近のブログ記事

酸によって透ける前歯(酸蝕症)

2014年に治療させて頂いた患者さんから連絡があり

酸蝕症患者さんの前歯の審美治療(レジン) - EE DENTAL_Blog

 

2014年の術前の前歯

2026 EEdental FUE (1).jpg

酸で前歯の裏側が溶けてしまいエナメル質が透けて見えます。

 

歯の裏側にオペーク系の透け感を無くすレジンを詰めさせてもらいました。

2014 EEdental f (3).jpg 

透け感は無くなりました。

 

そこから問題無く使えていたようなのですが、 

先日、詰めた歯の1本が外れたと来院されました。

2026 EEdental FUE (2).jpg

まるまる1本レジンが外れています。

 

ただ、患者さんには

「個人的な感想ですけど、よく12年も持ってくれたなと思いますよ」と説明

*エナメル質と異なり象牙質への接着なので、接着力は弱くなります。

    

また、この歯は結構ペラペラなので、患者さんにクラウンにするもの1つですが、

取れていない側と歯の質感を揃えるのは難しいので、審美を求めるなら2歯をクラウンにする必要がある。

ただ、クラウンはもう1回レジン詰めてみてからでいいと思います。

*基本的に今の私はあまり積極的な治療は勧めません、歯を長く持たせるならなるべく触らない、削らない必要最小限の治療が大原則です。

 

で患者さんからレジンでOKと回答をもらい。

 

もう一度外れた1本だけレジン充填

2026 EEdental FUE (3).jpg 

 

正面観

2026 EEdental FUE (4).jpg

透け感は無くなりました。

患者さんも元の状態に戻り安心してもらえました。

 

 

歯を長持ちさせる治療はある種の戦略です。

ホント生まれ持った天然の状態から離れれば離れるほど問題も起こりやすく、抜歯は近づきます。

*歯科医師の治療って治しているようで確実に体を壊しています。

  

現代の理想的な医療が正しいとは全く思いません、戦略を組む際に沢山治療の選択肢はあった方がいいとは思いますので多少勉強はしますが体のルールは未来永劫変わることはなく、その体のルールに従った方が、上手く行きます。

歯科医師の技術以上に歯の保存は考え方だろうなと個人的には思います。

 

こんな特殊な考え方なので、あまりメジャーな方法にはなりませんけど・・・(>。<;)

  • Comments (Close): 0
  • TrackBack (Close): 0

詰め物外してみたら歯冠破折だった。。。

歯が折れる場合はざっくり言って、

歯茎に埋まっている「根っこ」が折れる「歯根破折」と口の中で見える白い歯の部分が折れる「歯冠破折」があります。

「歯根破折」は抜歯になる場合が多いですが、やっている先生にかかれば接着修復という手もあります。

「歯冠破折」は頭の部分で割れだいたい骨の部分で止まるパターンが多いです。

歯冠破折.jpg

が、ここで折れても明確な治し方は存在しません。

またこの折れ方の場合神経の一部まで達していることが多く、治療のスタートが遅れると神経を取る治療からとなります。 

 

今回のケース 以前お母さんの治療をさせてもらった20代のお子さん

近医の先生に左下6に虫歯があると言われた。

レントゲン

2026 EEdental NNS (1).jpg

口腔内写真

2026 EEdental NNS (2).jpg

低目にレジンが詰めてあります。

 

患者さんには咬頭が無くなっており、中で虫歯もひろがっていそうだから

メタルアンレーで治しましょうと説明

 

治療を開始すると、「え!?」というぐらい詰め物が深い

歯茎の中のレジンも途中までしか詰めれておらず隙間から歯の中に歯茎が入り込んで来ている・・・

 

途中からこれ初発は虫歯ではなく歯冠破折で、長い期間で隙間から2次カリエスが出来たケースだと分かってきました。

歯の中の歯茎は電メスを使い除去

虫歯を削り終わると

2026 EEdental NNS (3).jpg

露髄した部分には第3象牙質が見られます。

エナメル質をなるべく残す為にEENOスフィアなどを使いくり抜くように虫歯を削っています。

 

ただ、こうなるとメタル修復するよりレジンで治した方が良いと判断し

患者さんとお母さんに理由を説明してレジン充填を行いました。

術前⇒術後

2026 EEdental NNS (5).jpg

レントゲン

2026 EEdental NNS (4).jpg 

最後に咬合をチェックすると臼歯部に側方運動時のガイドがあり、

たぶん、昔もこのガイドが極端に強くて割れたんだろうなと推測。

2026 EEdental NNS (6).jpg 

*最初の図と同じ割れ方になってました。

 

遠心にも似たようなガイドがあったので、最後に側方運動の咬合調整を行い終了となりました。

 

若い患者さんでも、夜間の歯ぎしりが大きい人はこのように歯冠破折を起こすことがあります。

先にも書いたように治し方が確立していないので、かかった歯科医院毎で治療法はことなりますが、

個人的には神経は残せれば大きく削らず処置したい所ではあります。

  • Comments (Close): 0
  • TrackBack (Close): 0

年配の方に多い歯茎付近の虫歯

虫歯は年齢により出来やすい場所がことなります。

小中学生などの永久歯の生えたて頃は咬む面や側面などの溝に多く虫歯ができます。 

この虫歯は小さな穴から中に大きく広がることもありますので、拡大視野下の診断は有効です。

  

次に、20歳を超えると咬む面の虫歯は減ってきて、変わって歯と歯の間に虫歯がよく見られるようになります。

この歯と歯の間の虫歯は2種類あり、フロスなど通さずに歯と歯の間に汚れが長期間停滞し虫歯になるパターンと、中高年以上の方にたまにある咬む力で歯と歯の間に亀裂が入ってその亀裂から細菌感染し虫歯になったパターン

このクラックカリエスは拡大視野で治療をしている先生は知っていますが、現状あまり知られていません。

歯が生えたての若い頃はこのような亀裂はまだ入っていないので、クラックカリエスは少ないです。 

  

次に、60歳を超えてくると、

多くの方は60歳過ぎると歯茎が下がってきて黄色の部分の歯根が見えてきます。 

歯茎が下がった場所は、いままで歯肉で守られていた組織が細菌だらけの世界に出てくるので、この部分は虫歯になりやすくなります。

また女性の場合、年々唾液が減る傾向もあり唾液の量が減ってくると虫歯にもなりやすくなります。

 

 

今回のケース 70代男性 歯科医師の先生のお父さん

歯茎が下がり物が詰まりやすくなった為か、歯茎付近に大きな虫歯が出来てしまいました。

2026 EDG (1).jpg

レントゲンでは神経付近まで虫歯が進行しており、

術前時に患者さんにもしかしたら神経を取る治療が必要になるかもしれないが、

今回は神経を残す方向で治療を行い、術後痛みが出てしまったら神経を取ると説明 

  

このケースは患者さんに真横を向いてもらい、顕微鏡のモーラー機能をフル活用し

直視で虫歯治療を行いました。 

2026 EDG (2).jpg

 治療時間1時間(レジン+覆髄) 治療費99,000円(消費税込み)

 

患者さんも術後動画見ながら、顕微鏡を使えないとホント出来ない治療ですね!と驚かれていました。

一般的な方法だと、神経抜いてクラウンにすると思うんですが歯科医院さえ選べばこんな事出来ます。 

 

因みにこの虫歯の切削には回転切削器具は届かないので、音波チップ

【EENOスフィア】 - 超音波スケーラー用チップの錦部製作所オンライン販売WEBショップ、購入や注文はこちらから

使っています。

いつも使う切削道具は1本200~500円のダイヤモンドバーですが、ケースによっては20000円の道具で虫歯を切削します。

  • Comments (Close): 0
  • TrackBack (Close): 0

久しぶりの正中離開

俗にいうスキッ歯

2026 EEdental KUS (1).jpg

真ん中に少し大き目の隙間、中切歯と側切歯の間に小さな隙間が空いています。

 

患者さんは30代女性、前歯を治したいとのことでした。

このケース「治す方法」、「治す本数」どのように介入するか!?

まず綺麗にする方法には、

1、レジン(隙間にプラスチックで詰める)

2、ラミネート(セラミックを付け爪のように張る)

3、クラウン(大きく削って被せ物で歯の形を大きく代える)

の3つがあることを説明

患者さんは色々調べてきてもらえたようで、なるべく削らない方法で1のレジンを選択しました。

*個人的にも大きく歯にダメージを与えないレジンを勧めます。

 

さて、この隙間を何か所埋めるか!?

 

私的には、人の印象は前歯の隙間だけで良い印象になるので

「まずは真ん中だけ詰めましょう」と提案

全ての隙間を詰めると横の幅が広くなり歯の綺麗な形からズレます。

 

後、患者さんが知っておいた方がいいのは、先生によって

レジン、ラミネート、セラミッククラウンありますが、先生により得意な方法は異なりますので

ネットでレジンが良いと思ったらレジンの得意な先生を探す必要があります。

 

施術から1時間後

2026 EEdental KUS (4).jpg 

ブラックトライアングル部は数日で歯肉が盛り上がり綺麗に調和してきます。

歯肉は歯の形に合わせて変化してくれます。

   

レントゲン

2026 EEdental KUS (6).jpg 

綺麗なラインでグラデーションが作られています。

*白く見えるのがレジン 隙間だけで処理します。

 

【唇面】

2026 EEdental KUS (5).jpg

術直後、患者さんが歯を見て非常に喜ばれていました。

 

根管治療などの見えない場所よりダイレクトに患者さんの感嘆が見れる審美治療はやりがいがありますね。

根管治療などはホント手ごたえがあっても、レントゲンで術者しか精度は分かりませんからね・・・

 

 

どうでしょう!?写真を見て、両隣にある隙間気になりますかね!?

両隣の小さな隙間は正面から見るとさほど目立たないので、真ん中1か所埋めるだけで対人からの心象は良くなると思います。

今の私の歯科医療は必要最初減の介入で利を得るというコンセプトなので必要最小限の医療介入を心がけています。

(色々やってきての経験則ですが・・・) 

  

3年ぶりぐらいに正中離開を治療させてもらいましたが、意外とスムーズに治療が行えましたね( ゜∀゜)ノ 

  • Comments (Close): 0
  • TrackBack (Close): 0

年齢による治療方針の違い

これはたぶん一般的な考えだと思いますが、

同じような病態でも治療方針というのは年齢やその人のキャラによって異なることがあります。

 

例えば70歳の方だと、後おおよそ20年持たせれば良い訳ですが、

20代になってくると、後60~70年の戦略を立てる必要が出てきます。

 

今回のケース

お母さんからの紹介のあった娘さん(20代女性)

 

レントゲン

2026 EEdental NAY (1).jpg

第1大臼歯の黄色丸:C2~C3に及ぶ虫歯 

第2大臼歯の赤丸:C4に近い虫歯

 

前に患者さんにも言いましたが、成功率を高くする為には

基本1つ次のステップの治療を行う事

つまり第1大臼歯は神経を取ってクラウン

第2大臼歯は抜歯

こうすることで将来トラブルの出る確率は多少減らせますが、

歯の寿命は確実に短くなりますし、咬みずらくなります。

  

ここが残りの人生を考えた際の選択になります。

短期予後を取るか!?それとも長い人生・将来的な事を考えた選択をするか!? 

 

前者の難しい歯の保存を説明なしに行うと、上手く行かなかった場合藪医者扱いを受けるので

最初に患者さんにある程度説明を行い理解をしてもらいます。 

 

まず第一大臼歯はいつも通り

とりあえず神経を残す治療を行い、痛みが後で出てしまったら後で神経を取ると説明

2026 EEdental NAY (2).jpg 

さて、この第2大臼歯・・・

縁下に大きく虫歯が広がっており、歯に穴を開けずに虫歯をきちんと取るのが超難度

 

保存をしても歯根破折、咬合から来る虫歯などが怖いのはあり、 

将来起こるであろうこのリスクを下げるには抜歯も1つ

 

患者さんと話し合い、残す方向で治療を行いました。

2026 EEdental NAY (3).jpg

パフォレーションを起こさせないように虫歯を削るのに50分近くかかりましたが、

一応保存治療が行えました。

 

この先、数カ月様子を見て問題無ければ本歯を作らせてもらいます。

 

基本中の基本でもある虫歯を削るって、ホント難しいと感じます(・ω・;) 

  • Comments (Close): 0
  • TrackBack (Close): 0

3Mix 変法!? VS標準治療

患者さんは30代女性

以前一度診させてもらったのですが、私では対応できず治療は行いませんでした。

 

痛みが出てしまったということで2年ぶりに来院されました。

 

話を聞くと数カ月前にαTCP(骨補填材料)に3Mixを混ぜた薬剤を使い覆髄治療をしたが

1カ月前から痛みが出てきてしまい咬んでも痛いとのこと 

レントゲン 

2026 EEdental YOA (1).jpg

外枠は外さず真ん中からくり抜くように治療したようです。

 

口腔内

2026 EEdental YOA (2).jpg

 痛みがあった為か、咬合調整を行い咬み合わせを下げているみたいです。

  

症状的にも抜髄が妥当であること、残っている歯質が少ないのでメタルクラウンを勧める

ものの、患者さんは金属は嫌でレジンを希望

こちらも一応1年の保障を付けているので、あまり割れる(かける)と予想できる方法で治療はしたくない。。。

(患者さんがかける度に実費で支払いをするということで話がまとまりました)   

  

ただ、前の先生 αTCPに+3Mixって初めて聞いた組み合わせで「それ人体実験ですよ!」と言いたい。

 

また治療するならリケージ(漏洩)が怖いので一度全ての人工物は外すと説明し治療スタート

 

1回目の治療で全てレジンを外し、隔壁+根管治療スタート

歯髄切断がしてありました。

2026 EEdental YOA (4).jpg

レントゲン

2026 EEdental YOA (3).jpg

  

治療2回目

以前からある少し浮いている感じ、弱いジワ~とする痛みは残っているとのこと

基本的に長く続いていた症状は引くにも時間がかかることを説明し、根管内に問題が無ければ仕上げて行くと説明

根管充填+レジンコア+レジン充填まで

2026 EEdental YOA (5).jpg

レジン充填

2026 EEdental YOA (6).jpg

レジンである程度形を作りました。  

 

術前⇒術中⇒術後

2026 EEdental YOA (7).jpg

術前の遠心ラインだと、オーバーカウントゥアーとレスカウントゥアーが存在していたのでその辺りも修正 

 

ここから触ったりすると感じる違和感などが引いていくか経過観察を行います。  

 

傾向として、気にしてしまう方・神経質な方ほど気にしてしまい痛みがどんどん長期化することがあります。

ポイントはきちんと治療したら後は、あまり気にせず気になるようなら痛み止めなどを服用して気にしないように生活してもらうことです。

よくあるのは、処置した後に多少痛む、気になるので、もっと良い治療あるのかも!?転院再び治療を行い治らずの繰り返しでどんどん抜歯の方向に進んでいくこともあるので注意してください。 

*基本的に治療するなら私は標準治療を勧めます。(突っ込みがはいりそうですが、上のケースは自分のなかでは標準的な治療) 

   

痛みがあったり、困ったりしているとネットで色々検索してしまい魅力的に見える方法を選んでしまいますが、

はっきり言って、「薬」に頼った治療は出ては消えてという繰り返しで定着をいていない現実を見るとあまり特殊な薬剤療法に頼らない方がいいと思います。(基本として一生「薬効が続く」薬はありません)

   

昔も書きましたが、今の世の中良い治療であれば世界中に普及しますよ(^。^;)

  • Comments (Close): 0
  • TrackBack (Close): 0

遠心縁下のカリエス処置

患者さんは50代男性 

近医の先生からの紹介 

親知らずの影響で第2大臼歯遠心にカリエスが出来てしまったということです。

幸い症状などはありません。

レントゲン

2026 EEdental MIH (1).jpg

 かなり大きな虫歯があります。 

 

患者さんにまず口腔外科で抜歯をしてもらい

術後3週間後に一度神経を残す方向でレジン充填を行い

痛みなどが出てしまったら、後で神経を取る処置を行なうと説明

 

患者さんにOKをもらい

2026 EEdental MIH (2).jpg

特殊な削り方をしてレジン(プラスチック)を詰めました。

親知らずの影響か、セメント質の肥厚が見られました。

  

かかりつけの先生がこういった道具で

カリエス除去用チップ | 歯科器具の超音波スケーラー・エアスケーラー用チップなら有限会社錦部製作所

遠心縁下の虫歯治療が出来ると知っていたことが幸いでした。

 

一般的な治療はこんな感じで

2026 EEdental MA.jpg 

大きく削って神経取っても、見えない為に虫歯は残したまま・・・

  

ホントこの部位の虫歯の治療は知っている・知っていないで大きく差が出てしまいます(>。<)

  • Comments (Close): 0
  • TrackBack (Close): 0

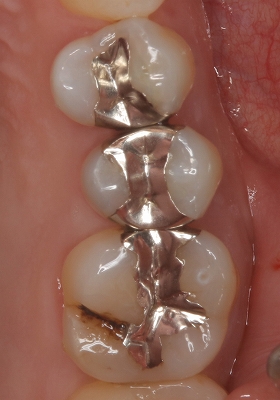
メタルアンレーが割れる!?

個人的に非常に珍しいケースなのですが、

 

患者さんから連絡があり、「奥の銀歯がかけた」とのこと

これだけ聞くと銀歯の周りの歯がかけたかかな!?と思っていたのですが、

 

実際口の中を診させてもらうと

2026EEdental KOM (1).jpg

一番したの奥歯インレーの一部が割れて無くなっている・・・

 

個人的に患者さんにはクリアランス(隙間)が少ないような場合、

「金属は1mm程度厚みがあれば割れない」とゴールドクラウンなどの説明しているんですが、金属が割れている。。。

 

金属断面を顕微鏡で観察していると、もしかして鬆が入っていたのかも!?

 

 

機能咬頭側の金属が割れていますが、そろそろ止めませんか!?この便宜形態

鋳造精度がよければわざわざ裂溝削る必要などないと思うのですが・・・

虫歯1に対して、健康な部分を3~5を削り犠牲にする方法がこのインレー

  

大学で教えられるブラックの窩洞という基準ですが、これって1908年でかれこれ120年前の明治時代の治療基準を令和になっても未だに採用って。。。

 

経験上、メーカーの開発で接着技術が格段に向上した1990年移行

コンタクトカリエスの99%はレジン治療で大きく削らず治療出来る時代です。

*歯科医師技術は多少必要です。 

   

患者さんにはこれだけ健康な歯が残っていれば、金属でなくレジンでも大丈夫と説明しレジン充填させてもらいました。 

2026EEdental KOM (2).jpg

術後(治療時間1時間)

*最近あまりプラスチック治療のブログ書いていませんが、毎日レジンは詰めています(笑)  

 

 

先日、ある患者さんにも何でこんなに削るの!?と思うぐらい削られたと相談されましたが、

これは保険治療では効率的に治療する為には仕方がないですね、EEデンタルみたいに一人に1時間~2時間もかけれないのでね。

と制度上、間接法を採用してしまう理由を説明して納得してもらいました。

 

まぁ、今後金銭的な理由(金属代高騰)からメタルインレーが使えなくなると、レジン系・CAD/CAM系インレーとなり更に歯を削る治療になってくると思います。。。 

虫歯治療は個人的に適切なタイミングで、なるべく歯科医師の技術に頼り削らない方法で必要最小限の切削で治療してもらった方がいいと思います。

一度削った部分は元には戻せませんし、歯の形が変わってくるので咬みずらくなることもあります。 

 

2000年にFDI(国際歯科連盟)がミニマルインターベーション(なるべく削らない)を提唱しましたが、日本では手間に見合った費用にもなっていないので、全く普及しませんでしたね。。。

  • Comments (Close): 0
  • TrackBack (Close): 0

これで行けるか? レジン治療

最近、根管治療のネタばかりでしたがレジン治療も毎日のように行っております。

今回は久しぶりにレジンネタを 

 

昔から来院して頂いている患者さん

以前虫歯の治療を行ったのですが、残した自分の歯(エナメル質)の先端がかけてきてしまいました。

2025 EEdental KTI (1).jpg 

詰めたレジンは外れていません。

  

4級レジン充填という形でレジンを何度か詰めたのですが、毎回半年しないうちに取れてしまう・・・

今回に関しては12月の頭に詰めたのですが、1週間で外れてしまう。

 

患者さんは普段からここで咬まないように細心の注意をはらってくれているのですが、原因は夜間の歯ぎしりと推測されます。

2025 EEdental KTI (4).jpg

咬み合う歯も擦れてかけており、以前この部分を少し咬合調整させてもらい当たりは弱くしているのですが・・・

 

たぶん、またレジン詰めても取れるだろうな・・・

と推測し、患者さんに虫歯は無いけど前に詰めたレジン一度外させてもらい、もう1回詰めさせてくださいと説明

 

理由は以前接着歯学会に参加した時に、演者の先生が

レジン+レジンはどんな接着処理をしてもくっ付かない、歯質+レジンの方が接着力が大きいと聞いたことがあったので、今回はその言葉にかけてみようと

私は接着マニアではないので、メーカーの指示通りのことしかしていませんが、シラン処理の限界だろうなと推測

 

麻酔をして一度レジンだけを除去

2025 EEdental KTI (2).jpg 

ここからレジンで立ち上げます。

 

30分後

2025 EEdental KTI (3).jpg

ウエッジで歯肉を押していたので歯と歯の間の歯肉は下がっていますが、

2~3日で元通りに回復します。

  

昔の勤務医の頃は一度レジンで外れたら、じゃあ被せましょう!と言い

前装冠orセラミッククラウンを製作していましたが、

今の私の考えは削れば削るほど歯の寿命は短くなっていると考えているので

なるべく必要最小限の処置で済ませたいと思っています。

 

これで外れたら、いよいよべニア修復かなと患者さんに説明させて頂きました。 

 

 

歯の治療 

治しても咬む力に耐えられるか!?でも詰め物の寿命は大きく変わってきます。。。

  • Comments (Close): 0
  • TrackBack (Close): 0

神経が露出していたのにも関わらず・・・

患者さんは40代男性

1カ月前に歯がかけてしまい放置していたら痛みが出てきた為

近医の歯科医院で応急処置をしてもらった歯の治療をお願いしたい。

 

レントゲン

2025 EEdental Tm (1).jpg

虫歯が大きく痛みもあったことより、抜髄と判断しました。

口腔内も歯ぎしり痕が見られ、咬耗(歯のすり減り)が著しい。

 

 

仮蓋を外すと

2025 EEdental Tm (0).jpg

歯髄から出血が見られます。

 

ただ・・・

第一大臼歯だったのに麻酔が全く効かない。。。

歯根膜麻酔含め追加麻酔をするも全く効かず、露髄しているので髄腔内麻酔を行なうも痛くて体がのけぞってしまう。

 

年に1件ぐらい麻酔の効かないケースはあるのですが、だいたい親知らずか第二大臼歯と相場は決まっているのですが、第一大臼歯で麻酔が効かないなんて、『初』

 

麻酔が効かないケースは骨格のしっかりした、俗にいう「顎のエラが張った人」

この人は皮質骨が分厚いので麻酔液が中々歯の中まで浸透しません。

 

昔なら伝達麻酔をしていましたが、ここ5年ぐらい全くやっていない為「注射針」も持っていない。

  

基本的にやることをやってダメなら仕切りなおした方が早いので、今日は治療は無理!

こんな麻酔が効かなかったのは初なので、大学病院に紹介状を書き治療は終了

 

2025 EEdental Tm (2).jpg

  

2025 EEdental Tm (3).jpg

 

口腔内 術後3カ月

2025 EEdental Tm (4).jpg 

歯がかけてしまうのは、歯ぎしりの関係でしょうね。。。 

 

自分の歯を長持ちさせたい患者さんは咬む力も意識した方がいいですよ!

  • Comments (Close): 0
  • TrackBack (Close): 0

Next archives

Home> マニアックレジンアーカイブ

購読
Powerd By

Return to page top